Tehotenstvo prináša ženám šťastie, no môže ich naplniť aj obavami, ak predtým trpeli spontánnym potratom. Je obvyklé, že po strate tehotenstva cítia celý rad emócií. Potrat je strata dieťaťa pred vstupom ženy do 20. týždňa tehotenstva. K väčšine potratov dochádza vtedy, keď sa plod nevyvíja podľa očakávania.
V približne 50 percentách prípadov sú problémy s chromozómami dieťaťa zodpovedné za skorú stratu tehotenstva. Väčšina týchto chromozómových problémov je spôsobená náhodne, keď sa embryo delí a rastie, hoci sa to stáva bežnejším, keď ženy starnú. Niekedy zdravotné stavy, vrátane zle kontrolovaného diabetu alebo problémov s maternicou, môžu spôsobiť potrat. V približne 8 až 20 percentách prípadov končia potvrdené tehotenstvá potratom. Predpokladané riziko potratu v budúcom tehotenstve potom, čo ženy utrpia jeden potrat, je asi 20 percent.
Potrat môže u žien spôsobiť intenzívne pocity straty. Okrem toho môžu zažiť aj smútok, úzkosť alebo vinu. Sex sa neodporúča dva týždne po potrate, aby sa zabránilo infekcii. Ženy môžu ovulovať a otehotnieť už dva týždne po potrate. Môžu požiadať lekára o radu, keď sa budú cítiť emocionálne a fyzicky pripravené na tehotenstvo.
Ženy musia pri opakovanej strate tehotenstva navštíviť lekára. Zatiaľ čo až 75 percent opakovaných potratov môže byť spôsobených neznámou príčinou, niektoré zdravotné stavy môžu ženy vystaviť väčšiemu riziku straty tehotenstva. Keď sa zistia dôvody potratu, liečba základnej príčiny môže ženám pomôcť otehotnieť a zostať tehotná.
Pomôcť môžu špecifické testy:
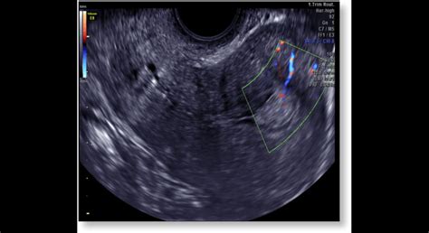
- Ultrazvuk (transvaginálny alebo brušný) - ultrazvukom sa vyšetrí maternica, vaječníky a vajíčkovody.
- Sonohysterogram je zákrok, pri ktorom sa vyšetruje vnútro maternice.
Ženy nemôžu nevyhnutne zabrániť potratu, pretože polovica tehotenských strát sa deje v dôsledku chromozomálnych abnormalít. Ženy nad 35 rokov môžu potratiť, pretože vajíčka majú tendenciu mať s vekom viac chromozomálnych abnormalít. Ženy však môžu znížiť riziko potratu a otehotnieť.
Zostaňte aktívni miernym cvičením aspoň 150 minút každý týždeň. Lekár odporučil cvičenia ako chôdza, jogging, plávanie, jóga a pilates. Mali by sa vyhýbať niektorým aktivitám, ako sú kontaktné športy, aktivity, pri ktorých môžu spadnúť a hot jóga, kde sa môžu prehriať.
Pri všetkých zmenách životného štýlu musia ženy venovať pozornosť aj svojmu duševnému zdraviu, pretože je normálne, že keď sú tehotné po potrate, cítia celý rad emócií. Ženy sa môžu cítiť smutné a zlomené po potrate. Než sa pokúsia znova otehotnieť, musia si dať čas, aby mentálne spracovali všetko, čo sa stalo. Niektoré z nich zistia, že je náročné vyrovnať sa s potratom.
Keď ženy po jednom potrate opäť otehotnejú, budú sa pravdepodobne cítiť radostne aj úzkostlivo. Ženy sa môžu po potrate psychicky vyrovnať tým, že sa poradia s licencovaným terapeutom, ktorý im môže pomôcť prechádzať emóciami, ktoré cítia. Môžu ich tiež naučiť spôsoby, ako sa môžu vyrovnať so svojimi emóciami.
Hoci ženy nemôžu urobiť nič, aby zabránili potratu, môžu si samy zvoliť zdravý životný štýl.
Pod slovom potrat si predstavíme stratu, ukončenie začínajúceho života. Či už spontánne alebo umelým prerušením tehotenstva. Aké druhy potratov poznáme sa dočítate v článku.
Čo je vlastne potrat?
Potrat, abort alebo abortus patrí k poruchám dĺžky tehotenstva. Je to predčasné ukončenie tehotenstva buď vypudením plodu, alebo jeho odstránením z maternice z dôvodu ochorenia plodu neschopného mimomaternicového života alebo na žiadosť matky. Potrat, či už spontánny alebo umelý, zanecháva určité stopy na duši ženy. Nie každá žena má to šťastie, aby jej tehotenstvo skončilo šťastným donosením a narodením potomka.
Čo sa považuje za potrat?
Za potrat sa považuje:
- Vypudenie mŕtveho plodu, ktorý neprejavuje známky života, váži menej ako 1000g, alebo jeho hmotnosť nie je možné zistiť, je menšie ako 35 cm a tehotenstvo bolo kratšie než 28. týždňov gravidity.
- Plod prejavuje známky života a jeho pôrodná hmotnosť je nižšia ako 500 g, ale neprežije prvých 24 hodín po pôrode.
- Ukončenie mimomaternicového tehotenstva alebo umelé prerušenie tehotenstva.
Za mŕtvy plod sa považuje plod, u ktorého sa nezistí srdcová frekvencia, dýchacia činnosť ani pulzácia pupočníka, či aktívna činnosť kostrového svalstva. Väčšina potratov však prebehne ešte skôr, než plod dovŕši hmotnosť 1000 g, čiže nie je životaschopný.

Aké sú príznaky potratu?
Príznaky a priebeh potratu sú sprevádzané bolesťou v krížoch a podbruší, slabým výtokom krvavo hnedastej farby, prípadne masívnym krvácaním z rodidiel a vypudenie plodových obalov. Bolesť a krvácanie je spojené s vypudením plodových obalov. Pri niektorých prípadoch môže potrat prebiehať úplne bezpríznakovo, najmä pri zamĺknutom potrate, kedy plod zomrie v maternici bez prejavu bolesti či krvácania.
Ukončenie tehotenstva na Slovensku
Na Slovensku je možné ukončiť tehotenstvo do 12. týždňa. Z genetickej indikácie do 24. týždňa. Pri ohrození zdravia matky alebo neživotaschopnom plode až do konca tehotenstva.
Potrat z pohľadu ženy
Ak sa žena na tehotenstvo pripravovala a plánovala ho, tak je to veľká rana pre jej psychiku, ak o dieťa príde. Nie každá žena ním prejde bez ujmy na jej psychike a zdraví. Pri plánovanom tehotenstve každá žena čaká na deň blížiacej sa menštruácie. V duchu sa modlí, aby neprišla a vzbĺkol v nej plamienok šťastia, že pod srdcom bude nosiť nový život, ktorý o 9 mesiacov bude držať v náručí. Je to neskutočná trauma, ak o vytúžené dieťa príde. Už len pri pomyslení na to, že sa žena na dieťa tešila, pripravovala hniezdočko preň a od prvého dňa pozitívneho testu sa s ním rozprávala, tešila sa a žiarila šťastím, sa zrazu stane, že začne mať bolesti, krvácať a po snahe lekárov aj tak potratí. Jeden deň bola tehotná a na druhý deň už nie. Pociťuje prázdnotu a smútok.
Každé plánované a želané tehotenstvo, ktoré bolo neúspešné, nie je príjemnou udalosťou v živote ženy a jej partnera. Vo väčšine prípadov príznaky psychickej traumy pominú po 3. mesiacoch. V prípade psychického pretrvávania ťažkostí dlhšie, po dobu 6. mesiacov, je dobrá kontrola psychológa.
Následné tehotenstvo, ak sú obaja partneri rozhodnutí pre plánované tehotenstvo a príchod potomka, je dobré plánovať hneď od prvej menštruácie po potrate. Väčšinou už prebehne bez problémov a komplikácií. Po troch za sebou nasledujúcich potratoch sú indikované niektoré vyšetrenia, aby sa zistilo, čo spôsobuje predčasné ukončenie tehotenstva. Vyšetrenia krvi na hormonálne poruchy, ochorenia štítnej žľazy, genetické vyšetrenia.
Ako sa cíti žena po potrate?
Žena po potrate, či spontánnom alebo umelom prerušení, sa musí v prvom rade vyrovnať sama so sebou a prekonať tú traumu vo svojom živote. Vyrovnanie sa s potratom je u každej ženy individuálne, závisí aj od okolností, v akých podmienkach sa žena nachádza. Jedna žena sa s tým vyrovná rýchlo a iná zas pocíti nepríjemné zmeny na svojej psychike. Duša, ktorá bola ranená, sa dlho lieči.
U žien, ktoré prekonali umelé prerušenie tehotenstva alebo potrat, môže zasiahnuť posttraumatický stres následkom potratu. Psychologická podpora po potrate je kľúčová, a to najmä podpora rodiny i partnera. V prípade ťažkého zvládania situácie môže žena potrebovať odbornú pomoc od psychológa, alebo sa môže zapojiť do podporných skupín, ktoré jej pomôžu spracovať stratu. Každá žena sa s traumou z potratu vyrovnáva individuálne.

Postabortívny syndróm
Interrupcia je medicínsky výkon za účelom umelého prerušenia tehotenstva, čo je pre niektoré ženy traumatický zážitok a náročný po psychickej stránke. Postabortívny syndróm môže postihnúť ženu, ktorá vykonala umelé prerušenie tehotenstva alebo prekonala spontánny potrat. Bez ohľadu na politické, náboženské názory na potrat, môže mať vplyv na ženu. Nie je to ľahké rozhodnutie niesť potenciálne následky na psychike.
Dôvody potratu sú veľmi osobné, ale v každom prípade sa považuje za stresovú situáciu, ktorou musí žena prejsť. Niektorá žena prežíva pocit viny, úzkosť, pocit ľútosti, plačlivosť, depresiu, nočné mory, až samovražedné sklony ako následok posttraumatického stresu z potratu.
Čomu sa vyhýbať v prvých mesiacoch tehotenstva?
V prvých troch mesiacoch sa smú užívať len lieky, ktoré nepoškodzujú plod. Tehotná žena by sa mala vyhýbať práci, kde môže prísť do styku s olovom, ortuťou, fosforom, sírovodíkom, organickými rozpúšťadlami, RTG lúčmi a iným žiareniam.
Prečo som potratila? Aká bola príčina?
Veľa žien si kladie túto otázku a pocíti výčitky. Príčiny potratov sú rôzne a často nie je možné zistiť presný dôvod. Potrat môže zapríčiniť stres, telesná záťaž, horúčkové ochorenie matky, infekcie, poruchy látkovej výmeny, vývojové poruchy plodového vajca, nadmerné preťažovanie ženy. Ale aj vonkajší zásah s úmyslom vyvolania potratu. Niekedy žena ani nevie, že bola tehotná a pritom potratila, čo sa prejaví silným alebo dlhotrvajúcim krvácaním počas menštruácie.
Prečo mám stále pozitívny test po potrate?
Po potrate sa v krvi ženy stále nachádza HCG hormón následkom predchádzajúceho tehotenstva. Test na HCG môže byť pozitívny aj niekoľko dní, prípadne týždňov po potrate. Po prvej menštruácii od potratu sa hladina HCG zníži a telo sa dostáva do normálu.
Rozdelenie potratov
Podľa obdobia
- Samovoľný potrat - skorý do 12. týždňa tehotenstva a neskorý po 12. týždni tehotenstva, alebo predtým, ako plod dosiahne životnú schopnosť mimo maternice, čo je zvyčajne okolo 24. týždňa tehotenstva.
- Umelý - na žiadosť matky alebo zo zdravotných indikácií matky alebo plodu.
Rozdelenie podľa príčin, faktorov:
- Prirodzený - infekčný, neinfekčný
- Umelý potrat - interrupcia
Spontánny potrat rozdeľujeme:
- Hroziaci potrat
- Začínajúci potrat
- Neúplný potrat
- Úplný potrat
- Zamĺknutý potrat
- Habituálny potrat
Aké sú druhy potratov?
Samovoľný - spontánny potrat - abortus spontaneus
Príčinou samovoľného potratu môžu byť vývojové chyby rodidiel, chybné uloženie zárodku, jeho obalu, porucha uhniezdenia, duševná trauma, stres, infekčné ochorenia matky, poruchy endokrinných žliaz, imunitné faktory, alebo choroby prenášané zo zvierat, užitie toxických liekov, fajčenie, alkoholizmus, toxikománia. K spontánnemu potratu u tehotných žien v prvých troch mesiacoch dochádza takmer u 10 - 15 %. Potrat stúpa aj s vekom matky.
| Vek matky v rokoch | Príčina spontánneho potratu v % |
|---|---|
| Pod 20 | 0 - 1 |
| 20 - 24 | 1,6 |
| 25 - 29 | 2,1 |
| 30 - 34 | 2,5 |
| 34 - 39 | 2,6 |
| Nad 40 | 13,6 |

Príčina spontánnych potratov
Z akých dôvodov prišlo k potratu? Mohli sa vyvinúť defekty plodového vajca, abnormality embrya, defekty vo vývine, genetické choroby, alebo chromozómové odchýlky, cievne poruchy placenty, abnormality v reprodukčnej sústave ženy, nedostatočná hladina progesterónu, imunologické faktory, zdravotný stav - infekcie, diabetes.
Zdravá žena, ktorá prekonala potrat, by mala mať na pamäti, že potrat sa odohral z dôvodu, že akonáhle ženský organizmus spozoruje postihnutie plodu už v začiatkoch tehotenstva, tak sa ho zbaví vylúčením z maternice. Ako rázštepy neurálnej trubice, alebo veľké malformácie plodu.
Abnormality implantácie, uhniezdenia, sa vyskytujú pri zavedení vnútromaternicového telieska. Nízka implantácia je častá v druhom trimestri tehotenstva. Alebo pri mnohopočetnom tehotenstve, ak je poškodený jeden alebo oba plody.
Z dôvodu porúch u matky: Hormonálne príčiny, porucha hormónov v priebehu menštruačného cyklu, cukrovka, patologický spermiogram manžela často spôsobuje časté a zamĺknuté potraty, malformácie maternice, zápaly a nádory maternice, ochorenia matky ako horúčka, ochorenie štítnej žľazy, ochorenie srdca, obličiek, pľúc, infekcie, otravy, imunologické ochorenia, poškodenie krčka maternice, trauma.
Habituálny potrat
Opakujúce sa potraty viac krát za sebou.
Hroziaci potrat - abortus imminens
Žena pociťuje príznaky ako pri potrate, mierne bolesti v podbruší a v krížoch. Môže sa pridať aj krvácanie v podobe slabého sfarbenia výtoku alebo krvácanie z rodidiel. Po vyšetrení gynekológom sa potrat nejaví a svedčí o neporušenom tehotenstve. Kŕčok maternice je uzavretý. Pridávajú sa lieky na udržanie gravidity a pre zdravý priebeh tehotenstva. Dôležitý je pokoj na lôžku. Len v 16 - 18 % dôjde k potratu.
Syndróm miznúceho dvojčaťa - pri vývine dvojčiat sa rast jedného plodového vajca zastaví. To sa tiež prejavuje ako hroziaci potrat. Väčšinou sa odumreté plodové vajce absorbuje a druhý plod rastie a vyvíja sa naďalej. Stáva sa ale, že dôjde k potratu aj druhého plodu.
Začínajúci potrat - abortus incipiens
Ak sa krvácanie nezastaví aj napriek podanej liečbe a naďalej sa zhoršuje, ide už o začínajúci potrat. Krvácanie a bolesti sa zhoršujú. Je malá nádej na zachovanie tehotenstva. Kŕčok maternice sa pootvára, tento stav prechádza do prebiehajúceho potratu.
Prebiehajúci potrat - abortus in cursu
K príznakom začínajúceho potratu sa začína otvárať kŕčok maternice a objavuje sa v ňom časť plodového vajca. Podľa toho, či sa vylúčilo celé plodové vajce alebo len jeho časť, sa potrat rozdeľuje na úplný a neúplný.
Úplný potrat - abortus completus
Ak sa vylúči celá časť plodového vajca, ide o potrat úplný. Vylúčením bolesť a krvácanie prestáva. Maternica sa sťahuje a netreba ďalší zákrok.
Neúplný potrat - abortus incompletus
<Nastáva, ak sa nevylúči celý plodový obal a časť z neho ostáva v maternici. Bolesť a krvácanie pretrváva a je potrebný rýchly zásah a vykonanie kyretáže na vyčistenie maternice.
Septický, horúčkový potrat - abortus septicum
Priebeh potratu môže skomplikovať infekcia s horúčkou. Prejavuje sa teplotou, bolestivou maternicou a podbrušia, krvavým výtokom. Tento stav sa musí riešiť, lebo zápal prechádza aj na maternicu a môže vyústiť až do sepsy, otravy krvi.
Zamĺknutý potrat - missed abortion
Je odumretie plodu v prvej polovici tehotenstva bez bolesti a krvácania, ktorý nevyvolal kontrakcie. Plod nie je vypudený z maternice aj niekoľko týždňov. Niektoré mamičky pociťujú jemné nepravidelné kontrakcie, hnedasté špinenie z rodidiel. Kŕčok je uzavretý. Príznaky tehotenstva ako nauzea, zväčšovanie a citlivosť pŕs vymiznú.
Neskorý potrat
V 4. - 6. mesiaci, ktorý môže už prebiehať ako pôrod.
Potrat indukovaný - abortus inductus, UPT
Je na žiadosť pacientky, z dôvodu sociálnych, zdravotných indikácií matky (choroby), zdravotne zo strany plodu (poškodenie plodu, genetické vady).
Heterotopická gravidita
Keď ide súčasne o vnútromaterničnú a mimomaternicovú tehotnosť. Výskyt je 1:5000 tehotenstiev.
K nepravidelnému vývinu plodových obalov a plodu patrí:
Mola hydatidosa - zásneť hroznová
Je ochorenie trofoblastu. Keď okraje placenty vytvoria tvary malých hroznových vačkov. Zvyčajne sa celá dutina maternice vyplní cystami a embryo zaniká. Mola býva bez prítomného plodu alebo len čiastočná, pri ktorej sa plod vyvinie len čiastočne.
Ako sa prejavuje mola?
- Porucha sa prejaví v 3. mesiaci tehotenstva.
- Špinenie alebo až krvácanie, niekedy s kŕčmi.
- Vylučovanie cýst.
- Maternica rýchlo rastie.
- Nie je prítomná srdcová aktivita plodu.
- Vysoký krvný tlak.
- HCG hladina je príliš vysoká.
- Pri USG vyšetrení nie je plod prítomný.
Mola sa odstraňuje kyretážou a hodnoty HCG sa sledujú po dobu jedného roka, aby sa uistilo, že neostali zvyšky moly v maternici.

Liečba
Pre mamičku tešiacu sa na príchod bábätka nie je ľahké, ak sa vyskytnú nejaké komplikácie v rannom štádiu tehotenstva v podobe bolestí v podbrušku alebo krvavým výtokom. Je dôležité hneď o začínajúcich komplikáciách informovať svojho lekára, ísť na vyšetrenie, aby sa predišlo potratu, ak to je možné. Lekár vás vyšetrí s vaginálnym sonografom a určí, či je plod živý alebo odumrel v maternici.
Na udržanie plodu v maternici vám predpíše lieky na lepšie uhniezdenie plodu. Pri krvácaní vám odporučí kľud na lôžku, oddych a prestávku v sexuálnej aktivite, kým krvácanie neustúpi.
Pri začínajúcom potrate sa žiaľ musí počkať, ako sa bude tehotenstvo vyvíjať a či nastane prirodzené vypudenie plodových obalov z maternice. Ak sa maternica nevyprázdnila spontánne a prišlo len k čiastočnému alebo ku žiadnemu vylúčeniu, tak sa musí vykonať kyretáž na vyčistenie maternice.
Pri zamĺknutom potrate, ak nedošlo k vypudeniu plodu spontánne, sa podáva prostaglandín na vyvolanie kontrakcií a vypudenie plodu. Maternica sa následne vyčistí kyretážou.
Mimomaternicové, ektopické tehotenstvo - Ektopická gravidita
Vzniká, ak sa oplodnené vajíčko uhniezdi mimo maternice z nejakého dôvodu, najčastejšie vo vajíčkovode. Buď zastalo v posune, alebo sa nestihlo presunúť do maternice a tam nenachádza vhodné podmienky na svoj vývoj. Je to život ohrozujúci stav ženy. Pri sonografickom vyšetrení nie sú viditeľné žiadne známky gravidity, viditeľná je len vysoká sliznica maternice a hodnoty HCG.
Druhy mimomaternicového tehotenstva
- Extrauterinná - mimo maternice
- Tubárna - uhniezdenie vajíčka vo vajíčkovode
- Ovariálna - uhniezdenie vo vaječníku
- Abdominálna - uhniezdenie v dutine brušnej
- Intrauterinná - je síce uhniezdenie v maternici, ale uhniezdenie na zlom, patologickom mieste
- Intersticiálna - uhniezdenie vajíčka v stredovej časti vajíčkovodu
- Intramurálna - uhniezdenie v stene svaloviny maternice
- Cervikálna - uhniezdenie na krčku maternice
- Uhniezdenie v jazve po cisárskom reze
Pri mimomaternicovom tehotenstve hrozí ruptúra tuby, teda roztrhnutie vajíčkovodu.
Ako sa prejavuje?
Prejavuje sa neistými príznakmi tehotenstva a bolesťou na jednej strane brucha, ktoré sa stupňujú. Neraz po prudkých bolestiach brucha nastane kolaps a rozvíja sa šok u ženy.

Mimomaternicové tehotenstvo patrí k náhlym brušným príhodám a je nutný chirurgický zákrok. Ak nastane odumretie plodu vo vajcovode, vajcovod sa ho snaží svojimi sťahmi vytlačiť do maternice. Plodové vajce sa najskôr odlúči od steny, začína krv...
Išla som z tehotenskej poradne a pred nemocnicou som stretla jednu kamarátku, ktorú som už dlho nevidela. Plakala. Práve jej na ultrazvuku v ranom štádiu tehotenstva oznámili, že jej dieťaťu, na ktoré sa už veľmi tešila a malo sa narodiť ako prvé, nebije srdiečko. Má prísť na hospitalizáciu…
Aj jej sa to stalo, aj mnohým ďalším. Len sa o tom tak veľmi nehovorí. Je to citlivá záležitosť a okolie väčšinou nevie, čo povedať. Čo sú príčiny, koľko tehotenstiev sa takto končí, kedy sa možno pokúsiť o ďalšie dieťa?

Zamĺknutý potrat
Mnoho žien ide s nadšením na prvý ultrazvuk, už sa vidia s tehotenskou knižkou v ruke a namiesto toho im na lístoček z ultrazvuku napíšu: missed ab. Čo to je a aké sú príčiny? Missed abortion alebo zamĺknutý potrat je jednou z foriem spontánneho potratu. Rozdiel oproti bežnému potratu je v tom, že sa u ženy neprejavuje krvácaním a bolesťami podbruška, teda príznakmi vypudzovania potrateného embrya z maternice. Príčin môže byť niekoľko. Zo strany matky (napríklad hormonálne príčiny, malformácie maternice, zápaly, imunologické faktory, poranenia maternice a podobne) a tiež zo strany embrya. Tie sú z hľadiska zamĺknutého potratu významnejšie. Ide najčastejšie o abnormality v genetickej výbave.
Ako sa odhalí zamĺknutý potrat?
Ženy častokrát označujú oznámenie tejto smutnej udalosti za veľmi necitlivé zo strany lekára. Dozvedia sa len „surovú“ informáciu, že „tam nie je akcia“… V ranom štádiu tehotnosti je možné pomocou ultrazvukového vyšetrenia posudzovať prítomnosť aktivity základu srdcového svalu embrya. Limitácia tohto vyšetrenia sa posúva do nižších týždňov tehotnosti vďaka zdokonaľujúcej sa zobrazovacej technike najmä pri transvaginálnom vyšetrení. Napriek tomu sa v nízkych týždňoch tehotnosti všeobecne odporúča uvedené vyšetrenie aj niekoľkokrát opakovať, najlepšie s odstupom aspoň 48 hodín. Samozrejme podmienkou je nekomplikovaný priebeh. Ďalším faktorom je zastavenie vývoja embrya. Pokiaľ sa opakovaným ultrasonografickým vyšetrením preukáže neprítomnosť akcie srdca embrya a zastavenie jeho ďalšieho vývoja, musí vyšetrujúci lekár bohužiaľ konštatovať diagnózu zamĺknutého potratu. Uvedenú informáciu je nutné podať citlivo, s jasným vysvetlením stavu a ďalšieho postupu.

Hospitalizácia pri zamĺknutom potrate
Hospitalizácia je pri diagnóze zamĺknutého potratu nevyhnutná. Hrozí totiž riziko rozvoja rôznych komplikácií, ktoré by mohli spôsobiť okrem iného aj následky komplikujúce následnú tehotnosť. Pri potvrdení diagnózy zamĺknutého potratu je nutné indikovať a previesť inštrumentálnu revíziu dutiny maternice. Jedná sa o odstránenie materiálu z dutiny maternice v celkovej anestézii pacientky. Tento výkon je najúčinnejšou prevenciou komplikácií spontánneho, zamĺknutého potratu. Zabezpečí sa ním aj dokonalá regenerácia sliznice maternice a príprava na možnú ďalšiu tehotnosť. Materiál dutiny maternice (embryo a ostatné štruktúry) sa histologicky vyšetrujú, aby sa vylúčili menej časté a závažnejšie príčiny zastavenia vývinu tehotnosti.
Kedy sa môže žena pokúsiť o ďalšie dieťa?
Prakticky je to možné hneď v ďalšom cykle po spomínanom výkone. Odporúča sa však počkať aspoň tri nasledujúce menštruačné cykly, zabezpečujúce zregenerovanie sliznice dutiny maternice pred ďalšou implantáciou oplodneného vajíčka.
Čo ak žena potratila viackrát?
Za opakované potrácanie je považovaný stav, keď žena potratí tri a viackrát. V takom prípade je namieste indikovať vyšetrenia, ktoré by pomohli stanoviť príčinu opakovaného vývoja tehotnosti. Netreba pritom zabúdať na vyšetrenie partnera. V nasledovnej tehotnosti sa musí k sledovaniu takejto tehotnej pristupovať prísnejšie. Samozrejmosťou je zaradenie tehotnej na rizikovú graviditu s dodržiavaním všetkých režimových aj preventívne- terapeutických opatrení.
Pre mnohé ženy nastáva touto skúsenosťou veľmi bolestivé obdobie, nedokážu sa pozrieť na malé dieťa, matku s kočíkom, všetko v nich vyvoláva pocity smútku a u niektorých aj viny (prečo sa to stalo mne, to nedokážem ani donosiť dieťa…).
Aj napriek, bezpochyby, veľmi smutnému a negatívnemu zážitku, strate všetkých nádejí a radostného očakávania dieťatka, je nutné postaviť sa tejto skutočnosti tak silno, ako to len ženy vedia. Zmierňujúco môže pôsobiť aj fakt, že je to možno priaznivejší osud ako by mal mať vyvíjajúci sa plod v neskoršom štádiu tehotnosti komplikácie nezlučiteľné so životom. V každom prípade sa netreba vzdávať nádejí na zdravý priebeh ďalšej tehotnosti. Skúsenosti to len potvrdzujú. Život je veľmi silný a tiež spravodlivý. Pokiaľ niekto po dieťatku veľmi túži, túžba sa mu určite spravodlivo vyplní.
Potrat je téma, o ktorej by sme najradšej nikdy nerozmýšľali a nerozprávali, a už vôbec nie, keď čakáme bábätko. Možno vás prekvapí informácia, že spontánny potrat ukončí 15 až 25 % tehotenstiev. Ide o tehotenstvá potvrdené lekárom či tehotenským testom. O potrate sa v spoločnosti veľmi nehovorí. Preto, ak prídete o dieťa, môže sa vám zdať, že ide o niečo ojedinelé a že ste na všetko sama. Opak je však pravdou. Uvedené percento potratov je v skutočnosti pravdepodobne ešte vyššie. A to z dvoch dôvodov. Krvácanie, ktoré sprevádza potrat, je ľahko zameniteľné za menštruáciu. Pri takzvanom kompletnom potrate sa maternica sama úplne vyprázdni. Tento proces sprevádzajú kŕče v podbrušku (podobajú sa na pôrodné kontrakcie), bolesť a krvácanie. Hovoríme mu aj samovoľný potrat.
Nekompletný potrat sprevádza takisto krvácanie, kŕče a otvorený krčok maternice. Zmeškaný (alebo nepovšimnutý, zamĺčaný) potrat nesprevádzajú žiadne príznaky. Musíme si uvedomiť, že potrat nie je jedna udalosť, ale proces, ktorý môže trvať rôzne dlho. Ak sa potrat začne krvácaním a kŕčmi v podbrušku, veľmi pravdepodobne bude kompletný, a tak stačí počkať, kým prirodzene prebehne. Niektorí lekári vám môžu ponúknuť podanie prostaglandínov (konkrétne sa používa misoprostol alebo mifepristone). Prostaglandíny sú hormóny, ktoré stimulujú kontrakcie maternice a celý proces dokážu urýchliť. Najčastejšími nežiaducimi účinkami týchto liečiv sú nevoľnosť a hnačka. Nesmú sa užívať pri podvýžive, zlyhaní obličiek, nadobličiek alebo pečene. Poslednou možnosťou je chirurgické vyčistenie maternice, tzv. kyretáž. Kyretáž sa vykonáva cez pošvu. Zákrok možno absolvovať aj ambulantne, pri lokálnej anestézii. V tomto prípade nemusíte ostávať v nemocnici. Pravdepodobné je aj podávanie antibiotík - kvôli prevencii infekcie.
Nech už vy, alebo váš lekár vyberie akúkoľvek možnosť, vždy je nutné, aby ste sa spolu dohodli na kontrole o niekoľko dní, ideálne vtedy, keď prestanete krvácať. Po spontánnom potrate - približne 2 týždne. Počas nich sa (kvôli riziku infekcie) odporúča nič do vagíny nevkladať, čiže žiadne tampóny alebo pesary. A samozrejme, musíte sa vyhnúť pohlavnému styku. Menštruačné krvácanie sa zvykne obnoviť o 4 - 6 týždňov. Ovulácia ale môže nastať už po 14 dňoch od potratu.
Kedysi sa ženám odporúčalo, aby s ďalším tehotenstvom počkali aspoň 3 až 6 mesiacov. Riziko tehotenských komplikácií je pritom u nich na rovnakej úrovni, ako u žien, ktoré predtým nepotratili. Keďže každý prípad je individuálny, najlepšie urobíte, ak sa poradíte so svojím lekárom, ako dlho po zákroku vám odporúča počkať.
Prečo práve ja?
Táto otázka trápi každú ženu, ktorá niekedy potratila. Udalostí, za ktoré sa môžete obviňovať, je neskutočne veľa. Vývoj nového človeka je nesmierne zložitý proces, preto nie je nič zvláštne na tom, že v určitom štádiu tohto vývoja sa niečo „pokazí“.
Stane sa mi to znova?
Štatisticky má žena, ktorá raz potratila, úplne rovnakú šancu počať a vynosiť zdravé dieťa, ako jej rovesníčka, ktorá touto skúsenosťou neprešla. Pri 3 a viacerých potratoch (týka sa asi 1 % žien) je však už nutné pátrať po príčine. Riziko potratu stúpa s vekom ženy - po 45. roku je to až 50 %. Niekedy môže byť príčinou odlišná krvná skupina (Rh faktor) u vás a u vášho dieťaťa. Ako sme už spomenuli, u väčšiny potratov nevieme zistiť ich dôvod, a teda ich nevieme ani ovplyvniť. Najlepšie, čo môžete pre seba po fyzickej stránke urobiť, je, keď udržíte svoje telo také zdravé, ako to len ide! Pretože práve to je najväčší predpoklad pre úspešné tehotenstvo. Užívanie špeciálnych výživových doplnkov pre tehotné ženy nie je vyslovene nutné, môžu vám však zabezpečiť žiadaný prísun vitamínov a minerálov.
Fyzická stránka potratu je len jedna časť celého procesu. Zvládnuť túto situáciu psychicky je oveľa náročnejšie. Potrat znamená pre ženu celé spektrum nepríjemných pocitov, ktoré veľakrát zhorší napr. chladné správanie zdravotníckeho personálu. Hoci racionálne si môžete uvedomovať, že raz donosíte zdravé dieťa, nič to nemení na fakte, že ste chceli a ľúbili práve to, o ktoré ste prišli. Dovoľte si ich prežiť a precítiť. Čím dlhšie im budete vzdorovať, tým dlhšie budú pretrvávať. Môžete byť v šoku a celú situáciu popierať. Tiež môžete cítiť vinu a hnev, hoci znovu viete, že ste neurobili nič zlé a potratu ste zabrániť nemohli. Mnoho žien sa po potrate cíti depresívne a zúfalo, v jednom kuse plačú, majú problémy s jedlom, či so spánkom. Posledným v tejto vlne pocitov je obyčajne zmierenie sa s realitou. Niekedy nastáva opačný proces - necítite nič, neplačete, jednoducho - emócie neprichádzajú. Neexistuje akurátne množstvo zármutku, ktoré by ste po potrate mali cítiť; preto vedzte, že ani absencia emócií nie je nič čudné ani nenormálne. Nech sa už cítite akokoľvek, najdôležitejšie je dopriať si dostatok času na spracovanie celej udalosti.
Niektorým ženám pomohlo pátranie po príčine potratu, čo zahŕňa rôzne vyšetrenia a zháňanie informácií. Smrť blízkeho človeka obyčajne sprevádza pohreb, alebo aspoň posledná rozlúčka. Ide o veľmi dôležité prechodové rituály, ktoré ľuďom umožňujú smútiť. Ak ich nemáte, môžete usporiadať aspoň symbolický pohreb, alebo urobiť niečo, čo vám pomôže, aby ste bábätko riadne oplakali a odsmútili, niečo, čo vám ho bude pripomínať - napr. Zdieľajte svoje pocity úprimne a otvorene so svojím partnerom. Muži obyčajne nevyjadrujú svoje pocity natoľko, ako ženy. Ak máte potrebu rozprávať o tom, čo ste prežili, nájdite si dobrého poslucháča a vyrozprávajte sa. Existuje aj množstvo online diskusných fór, kde sa o svoju skúsenosť môžete podeliť. Snažte sa však nájsť skupinu, v ktorej funguje vzájomná podpora a zdieľanie.
Pripravte sa na to, že ľudia častokrát nevedia, ako zareagovať pri správe, že ste prišli o bábätko. Ak máte ďalšie deti, možno vám povedia, že „veď aspoň máte tie“. Často môžu opakovať aj frázy typu „malo to tak byť“, „aspoňže sa to stalo takto skoro“, či „neboj sa, ešte budeš mať veľa detí“. Myslite na to, že títo ľudia vám nechcú ublížiť, len nevedia, ako reagovať. Niekedy sa s tým nedá urobiť nič, iba prikývnuť a myslieť si svoje. Cudzí ľudia necítia hĺbku vášho zármutku.
Hoci je normálne a dôležité stratu bábätka odsmútiť, časom by ste sa mali začať cítiť lepšie. Postabortívny syndróm je vlastne posttraumatická porucha po potrate, ktorá vás núti celý proces neustále prežívať a vracať sa k nemu. Faktom je, že hoci porodíte desať zdravých detí, na to jedno, o ktoré ste prišli, nikdy nezabudnete. Smútok sa môže znovu vynoriť v čase výročia potratu alebo výročia dátumu, keď sa vaše bábätko malo narodiť.